Papiloma laring: Gejala klinik dan pengobatan kutil pada laring

Papiloma laring merupakan tumor jinak proliferatif yang sering dijumpai pada saluran napas yang jarang terjadi dan berkembang dengan cepat, walaupun tidak ganas. Tumor ini dapat menyebar ke rongga mulut, hidung, trakea dan paru, tetapi lokasi tersering adalah laring.

Apa itu papiloma laring?

  • Papiloma laring merupakan tumor jinak proliferatif yang sering dijumpai pada saluran napas yang jarang terjadi dan berkembang dengan cepat, walaupun tidak ganas. Tumor ini dapat menyebar ke rongga mulut, hidung, trakea dan paru, tetapi lokasi tersering adalah laring.   
  • Papiloma laring pertama kali dikenal sebagai kutil di tenggorok (warts in the throat) oleh Donalus pada abad ke-17. Infeksi Human Papilloma Virus (HPV) pada saluran napas merupakan penyebab potensial papiloma laring. Mc Kenzie membedakan penyakit ini dari tumor lain secara klinis dan menggunakan istilah “papiloma”.
  • Papiloma merupakan neoplasma laring jinak pada anak tetapi dapat juga terjadi pada dewasa, pada anak dapat menjadi masalah jika menyumbat jalan napas yang dapat mengakibatkan kematian. . .  
  • Penyakit ini cenderung kambuh sehingga disebut juga recurrent respiratory papillomatosis, dapat tumbuh pada kedua pita suara asli dan pita suara palsu. Papilloma ini dapat menyebabkan obstruksi jalan nafas atau perubahan suara. 
  • Terdapat dua jenis papiloma laring; salah satu adalah papiloma laring juvenilis yang biasanya multipel dan cenderung agresif dan biasanya di jumpai pada anak- anak. Yang lain adalah papiloma laring senilis yang soliter dan kurang agresif tetapi dapat berkembang menjadi ganas yang dapat di jumpai pada orang dewasa yaitu sekitar usia 20-40 tahun..


Apa penyebab papiloma laring??

  • Penyebab papiloma laring belum diketahui dengan pasti. Diduga Human Papilloma Virus (HPV) tipe 6 dan 11 berperan terhadap terjadinya papiloma laring. Diduga ada hubungan antara infeksi HPV genital ( kondiloma genital ) pada ibu hamil dan papiloma laring pada anak.  Hal ini terbukti dengan adanya HPV tipe 6 dan 11 pada kondiloma genital. Walaupun penemuan di atas menunjukkan peran infeksi virus pada papiloma laring, tetapi ada faktor lain yang berperan, mengingat papiloma laring dapat menghilang spontan saat pubertas.
  • Tipe HPV lainnya yang berhubungan dengan papilomatosis laring meliputi tipe 16, 18, 31 dan 33. Namun, HPV juga ditemukan pada mukosa laring normal. Prevalensi HPV yang dideteksi pada mukosa laring normal adalah sebesar 25%. 
  • Teori yang melibatkan faktor hormonal sebagai salah satu penyebab pertama kali dikemukakan oleh Holinger.
  • Terdapat beberapa faktor predisposisi papiloma laring yaitu sosial ekonomi rendah dan higiene yang buruk, infeksi saluran napas kronik, dan kelainan imunologis.

Bagaimana penyebaran penyakit papiloma laring?

 

  • Papilomatosis laring merupakan tumor jinak laring yang jarang terjadi, lebih sering dijumpai pada anak dimana 80% pada kelompok usia di bawah 7 tahun, selain pada anak-anak papiloma laring juga ditemukan pada orang dewasa.
  • Pada anak, kejadian papilomatosis laring hampir sama di antara laki-laki dan perempuan. Papilomatosis laring pada dewasa lebih sering terjadi pada usia 20-40 tahun dan lebih sering terjadi pada laki-laki dibandingkan perempuan dengan rasio 2:1 hingga 4:1
  • Dibagian THT FK USU/RSUP H.Adam Malik Medan sejak November 2001 sampai dengan November 2002 ditemukan enam kasus papilloma laring, empat orang kasus pada anak dan dua orang kasus pada dewasa.

Apa saja klasifikasi papiloma laring?
Berdasarkan waktu terjadinya, papilomatosis laring terbagi dua

 

  • Papilomatosis laring tipe juvenilis
    • Papilomatosis laring tipe juvenilis biasanya berupa lesi multipel dan mudah kambuh sehingga membutuhkan eksisi yang berulang. Namun, papilomatosis tipe ini dapat regresi secara spontan pada usia pubertas. 
    • Pada anak yang menderita papilomatosis laring di bawah usia 3 tahun, memiliki risiko sebesar 3,6 kali untuk dioperasi lebih dari 4 kali tiap tahun.
  • Papilomatosis laring tipe senilis
    • Papilomatosis laring tipe senilis biasanya berupa lesi tunggal dengan tingkat rekurensi rendah dan kurang bersifat agresif, tetapi memiliki risiko pre kanker yang tinggi.

Bagaimana proses perjalanan penyakit papiloma laring??

 

  • Papilomatosis laring disebabkan oleh infeksi HPV, terutama HPV tipe 6 dan 11. Tipe HPV lainnya yang berhubungan dengan papilomatosis laring meliputi tipe 16, 18, 31 dan 33.
  • Human papilloma virus merupakan virus DNA, tidak berkapsul dengan kapsid ikosehedral dan DNA double-stranded. Di dalam sel yang terinfeksi, DNA HPV mengalami replikasi, transkipsi dan translasi menjadi protein virus. Protein ini akan membentuk virion HPV baru yang dapat menginfeksi sel lainnya. Sel yang terinfeksi HPV akan mengalami proliferasi pada lapisan basal.

Proses infeksi HPV pada laring

  • Respon imun tubuh berperan dalam patogenesis terbentuknya lesi HPV. Pada papilomatosis laring, nuclear factor-kappa beta (NF-кβ) merupakan mediator utama yang terlibat dalam regulasi respon imun selular (Th1) dan humoral (Th2). Respon imun selular merupakan faktor yang paling penting dalam pertahanan tubuh terhadap infeksi HPV. Malfungsi respon imun selular menyebabkan papilomatosis laring, sebaliknya defek imunitas humoral tidak berhubungan dengan penyakit ini. 
  • Rekurensi tumor dapat terjadi akibat DNA HPV yang menetap pada mukosa normal.

Bagaimana transmisi penyakit papiloma laring?

 

  • Kejadian papilomatosis laring pada anak dapat terjadi akibat transmisi HPV pada saat kelahiran. Risiko transmisi infeksi HPV dari ibu ke anak diperkirakan meningkat pada anak pertama yang lahir per vaginam pada ibu usia muda yang menderita infeksi HPV genital. Status sistem kekebalan tubuh anak, Lamanya waktu jalan lahir, Volume virus di jalan lahir, dan kehadiran lokal trauma dianggap sebagai faktor yang berkontribusi terhadap penyebaran virus HPV pada papiloma laring. Para ahli menemukan satu dari 109 kasus papilomatosis laring pada anak yang lahir dengan operasi Caesar. Pada kasus papilomatosis laring neonatal, perkembangan penyakit mungkin telah terjadi saat di dalam kandungan.
  • Papilomatosis laring pada dewasa dapat terjadi akibat penularan HPV secara seksual dengan banyak pasangan dalam jangka waktu yang lama dan kontak orogenital. Namun, papilomatosis laring pada dewasa mungkin telah terjadi pada usia remaja yang bersifat laten dan teraktivasi bila imunitas tubuh menurun

Apa saja gejala klinik papiloma laring??

 

  • Gejala klinis yang timbul tergantung pada letak dan besarnya tumor. Gejala yang paling sering dijumpai adalah perubahan suara. 
  • Pada awalnya adalah gangguan fonasi berupa suara serak sampai hilang suara (afonia) dan suara tangisan abnormal pada anak.  Suara serak merupakan gejala yang paling sering dikemukakan apabila tumor tersebut terletak di pita suara dan jika tumor tersebut telah menyebar di seluruh pita suara, maka akan meyebabkan hilangnya suara atau afonia.
  • Bila papiloma cukup besar dapat menyebabkan gangguan pernapasan berupa batuk, sesak, dan stridor inspirasi. Timbulnya sesak merupakan suatu tanda bahwa telah terjadi sumbatan jalan nafas bagian atas dan biasanya diperlukan tindakan trakeostomi
  • Sumbatan saluran napas atas dapat dibagi menjadi 4 derajat berdasarkan kriteria Jackson. 
    • Jackson I ditandai dengan sesak, stridor inspirasi ringan, retraksi suprasternal, tanpa sianosis. 
    • Jackson II adalah gejala sesuai Jackson I tetapi lebih berat yaitu disertai retraksi supra dan infraklavikula, sianosis ringan, dan pasien tampak mulai gelisah. 
    • Jackson III adalah Jackson II yang bertambah berat disertai retraksi interkostal, epigastrium, dan sianosis lebih jelas, sedangkan 
    • Jackson IV ditandai dengan gejala Jackson III disertai wajah yang tampak tegang, dan terkadang gagal napas.
  • Kebanyakan pasien terutama pada anak datang dengan obstruksi jalan nafas dan sering salah diagnosis sebagai asma, bronkitis kronis atau laringotrakeobronkitis. Dari penelitian yang dilakukan gambaran klinis yang sering ditemukan pada papilomatosis laring adalah suara serak (95,65%), sensasi mengganjal di tenggorok (78,26%), batuk kronis (65,21%), stridor (56,52%) dan dispnea (47,82%)
  • Penyebaran ke trakea dan bronkus jarang ditemukan, tetapi dapat terjadi pada pasien dengan riwayat ekstirpasi papiloma atau riwayat trakeostomi sebelumnya, yang menimbulkan sumbatan saluran napas atau penyakit parenkim paru.
  • Penyebaran papilomatosis laring ke ekstralaring diidentifikasi pada 13-30% anak dan 16% dewasa. Lokasi ekstra laring yang paling sering adalah kavitas oris, trakea dan bronkus. Kejadian papilomatosis paru adalah jarang, tetapi jika terjadi dapat menimbulkan komplikasi yang berat seperti perdarahan dan pembentukan abses. 
  • Papilomatosis laring pada dewasa biasanya tidak bersifat agresif dibandingkan pada anak. Angka remisi pada papilomatosis laring tipe dewasa sulit diperkirakan. Papilomatosis tipe ini dapat tumbuh cepat dan berbahaya terhadap jalan nafas jika terjadi perubahan hormon, seperti pada kehamilan.

Gambaran makroskopis

  • Papiloma laring terlihat sebagai massa multinodular yang tumbuh eksofitik , seperti kembang kol, berwarna abu-abu atau kemerahan dan mudah berdarah. Tipe lesi ini bersifat agresif dan mudah kambuh, tetapi dapat hilang sama sekali secara spontan.
  • Dari penelitian yang dilakukan lokasi utama papilomatosis laring tipe senilis adalah pada glotis (75,6%), dan supraglotis (23,6%) sebagai lokasi kedua tersering. 
  • Papilomatosis laring tipe juvenilis terbanyak ditemukan pada komisura anterior dan plika vokalis (78,26%), diikuti pada komisura anterior dan posterior, plika vokalis, plika ventrikularis dan permukaan epiglotis (13,04%) serta regio subglotik (8,69%).

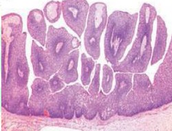
Gambaran mikroskopik

  • Gambaran mikroskopik menunjukkan kelompok stroma jaringan ikat dan pembuluh darah seperti jari-jari yang dilapisi lapisan sel epitel skuamosa hiperplastik dengan permukaan keratotik atau parakeratotik. Kadang-kadang muncul gambaran sel yang bermitosis.

Gambaran mikroskopis papiloma laring


Bagaimana cara diagnosisnya?

 

  • Diagnosis dapat ditegakkan melalui anamnesis yang teliti, pemeriksaan fisis, dengan laringoskopi langsung atau tak langsung serta dibuktikan dengan pemeriksaan histopatologis.
  • Pada anamnesis jika terdapat suara serak dan suara tangisan yang abnormal pada anak dengan atau tanpa riwayat infeksi yang telah diobati tetapi tidak ada perubahan, maka perlu dicurigai suatu papiloma laring. Biasanya terdapat stridor inspirasi 
  • Pada pemeriksaan laringoskopi langsung tampak gambaran tumor yang menyerupai kembang kol, kemerahan, rapuh, dan mudah berdarah, serta pertumbuhannya eksofilik.
  •  
  • Pemeriksaan penunjang lain berupa Identifikasi HPV dapat dilakukan dengan pemeriksaan imunohistokimia, isolasi DNA virus, teknik hibridisasi in situ dan polymerase chain reaction (PCR).
  • Penyebaran ke trakea dan paru dapat diidentifikasi melalui foto toraks dan CT Scan. Pada foto toraks dapat terlihat gambaran kavitas.

Gambaran laring normal

Gambaran laring normal

Tampak papiloma laring dengan nodul soliter

Papiloma laring dengan nodul multisoliter

Diagnosis banding

  • Diagnosis sulit terutama pada fase awal. Sering disalah diagnosis dengan laringo-trakeo-bronkitis, asma bronkial, laringomalasea, paralisis pita suara, nodul pita suara atau kista laring kongenital, laringitis tuberkulosis dan karsinoma laring stadium awal 
  • Diagnosis harus dikonfirmasi dengan laringoskopi langsung dan biopsi.

Bagaimana pengobatan papiloma laring??

 

  • Tujuan terapi pada papilomatosis laring adalah untuk mempertahankan jalan nafas dan kualitas suara. Namun, tidak ada terapi yang memuaskan dalam pengobatan papilomatosis laring
  • Ada beberapa perangkat dalam tatalaksana papiloma laring, semuanya mempunyai prinsip sama yaitu mengangkat papiloma dan menghindari rekurensi.

Umumnya terapi dapat dikategorikan sebagai berikut :

  • Bedah
    • Terapi bedah harus berdasarkan prinsip pemeliharaan jaringan normal untuk mencegah penyulit seperti stenosis laring. Prosedur bedah ditujukan untuk menghilangkan papiloma dan/atau memperbaiki dan mempertahankan jalan napas. 
    • Beberapa teknik yang digunakan antara lain: trakeostomi, laringofissure, mikrolaringoskopi langsung, mikrolaringoskopi dan ekstirpasi dengan forseps, mikrokauter, mikrolaringoskopi dengan diatermi, mikrolaringoskopi dengan ultrasonografi, kriosurgeri, carbondioxide laser surgery. 
    • Pada kasus papi-loma laring yang berulang, terapi bedah pilihan adalah pengangkatan tumor dengan laser CO2.
  • Medikamentosa
    • Pemberian obat (medikamentosa) pernah dilaporkan baik digunakan secara sendiri maupun bersama-sama dengan tindakan bedah. Obat yang digunakan antara lain antivirus, hormon (dietilstilbestrol), steroid, dan podofilin topikal. 
    • Terapi medikamentosa ini tidak terlalu bermanfaat.
  • Imunologis
    • Terapi imunologi untuk papiloma laring umumnya hanya suportif menggunakan interferon.
  • Terapi fotodinamik
    • Terapi ini merupakan tatalaksana papilomatosis laring rekuren menggunakan dihematoporphyrin ether (DHE) yang tadinya dikembangkan untuk terapi kanker. Jika diaktivasi dengan cahaya dengan panjang gelombang yang sesuai (630 nm), DHE menghasilkan agen sitotoksik yang secara selektif menghancurkan sel-sel yang mengandung substansi tersebut. 
    • Basheda dkk. melaporkan bahwa terapi fotodinamik efektif menghilangkan lesi endobronkial, tetapi tidak untuk lesi parenkim

Bagaimana pencegahan papiloma laring??

 

  • Pencegahan infeksi HPV pada laring sulit dilakukan karena transmisi virus yang belum diketahui secara pasti. 
  • Papiloma laring pada dewasa tidak dianggap menular dengan berciuman orang yang terinfeksi. Peran kontak oral-genital pada orang yang terinfeksi belum sepenuhnya dijelaskan.
  • Vaksin dapat diberikan untuk mencegah angka kekambuhan pada papilomatosis laring. Para ahli mengembangkan suatu vaksin baru terhadap HPV-11 E6 pada fase preklinik.

Apa saja komplikasi yang timbul pada papiloma laring??

 

  • Pada umumnya papiloma laring pada anak dapat sembuh spontan ketika pubertas; tetapi dapat meluas ke trakea, bronkus, dan paru, diduga akibat tindakan trakeostomi, ekstirpasi yang tidak sempurna. Meskipun jarang, radiasi diduga menjadi faktor yang mengubah papiloma laring menjadi ganas.

Apa prognosis papiloma laring??

 

  • Prognosis papiloma laring umumnya baik. Angka re-kurensi (berulang) dapat mencapai 40%. Sampai saat ini belum diketahui secara pasti faktor-faktor yang mempengaruhi re-kurensi pada papiloma.  Regresi total kadang-kadang terjadi pada saat pubertas, tetapi hal ini tidak selalu terjadi
  • Diagnosis dini dan penanganan yang tepat diduga merupakan faktor yang berpengaruh terhadap rekurensi. Penyebab kematian biasanya karena penyebaran ke paru.

Kriteria Jackson pada sumbatan jalan nafas atas

Jackson I ditandai dengan sesak, stridor inspirasi ringan, retraksi suprasternal, tanpa sianosis.
Jackson II adalah gejala sesuai Jackson I tetapi lebih berat yaitu disertai retraksi supra dan infraklavikula, sianosis ringan, dan pasien tampak mulai gelisah.
Jackson III adalah Jackson II yang bertambah berat disertai retraksi interkostal, epigastrium, dan sianosis lebih jelas.
Jackson IV ditandai dengan gejala Jackson III disertai wajah yang tampak tegang, dan terkadang gagal napas.

Sumbatan saluran napas atas dapat dibagi menjadi 4 derajat berdasarkan kriteria Jackson.

  1. Jackson I ditandai dengan sesak, stridor inspirasi ringan, retraksi suprasternal, tanpa sianosis.
  2. Jackson II adalah gejala sesuai Jackson I tetapi lebih berat yaitu disertai retraksi supra dan infraklavikula, sianosis ringan, dan pasien tampak mulai gelisah.
  3. Jackson III adalah Jackson II yang bertambah berat disertai retraksi interkostal, epigastrium, dan sianosis lebih jelas.
  4. Jackson IV ditandai dengan gejala Jackson III disertai wajah yang tampak tegang, dan terkadang gagal napas.

RS SMC Telogorejo Semarang
RS Columbia Asia Semarang
Praktek Pribadi Jl. Murbei no 17 A Sumurboto Banyumanik Semarang
web pribadi https://hennykartika.com dan https://dokter-tht-spesialis.com